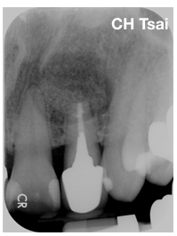
何小姐因左上的側門牙腫脹而來就診,且伴隨著間歇性的抽痛;臨床檢查發現根尖處有輕微壓痛感,放射線檢查後發現根尖有大範圍的破壞(紅色箭頭處)。

經過蔡醫師和何小姐討論後,因為原先牙冠和釘柱的密合度尚可、根管治療的品質也算可以接受,若要重新治療的話必須冒著拆除釘柱過程牙根斷裂的風險,且根尖骨破壞的範圍實在太大,於是決定接受顯微根尖手術。
連結:什麼是顯微根尖手術
當次手術的治療內容,主要在局部麻醉下進行,在顯微鏡下先定位骨破壞的位置、清除發炎組織並送檢,接下來進行牙齒根尖的切除,並進行超音波根管的清創及使用特殊的生物相容性高之封填材做根尖的逆向充填。
因骨頭的破壞範圍廣泛,於是在骨頭破壞位置,除了進行徹底的清創,也放置了骨粉及再生膜,促進齒槽骨再生的潛力。

手術結束後,會開立止痛藥和抗生素,何小姐只有在牙齦處感覺輕微的不適,但都不影響日常的生活喔!只要多休息、準時吃藥,恢復的速度就很快囉。
等待7天後拆除手術的縫線。
接下來就是期待術後的恢復,何小姐也相當配合的進行回診的追蹤,可以看到以下術後的X光片明顯根尖齒槽骨慢慢的生長,牙根周圍的牙周韌帶也慢慢恢復出現。

註:手術並非毫無風險或併發症,案例病患癒合狀況也因個人術前牙齒狀況及感染狀況而異,請約診做詳細評估及和醫師討論。