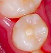
在恆牙萌發時,當牙齒根尖還沒有完全閉合時,有蛀牙、外傷、或是牙齒結構異常(如亞洲人種小臼齒常見牙中牙的結構,如下圖臨床照片),造成牙髓的感染,因而影響牙根繼續發育,使牙齒結構弱化。
牙根成形術能保留殘存牙髓的活性(須經根管專科醫師的評估),並消除牙根感染,使牙根繼續發育、牙齒管壁變厚,齒質結構強化直到牙齒的生長潛能完全發揮。


在恆牙萌發時,當牙齒根尖還沒有完全閉合時,有蛀牙、外傷、或是牙齒結構異常(如亞洲人種小臼齒常見牙中牙的結構,如下圖臨床照片),造成牙髓的感染,因而影響牙根繼續發育,使牙齒結構弱化。
牙根成形術能保留殘存牙髓的活性(須經根管專科醫師的評估),並消除牙根感染,使牙根繼續發育、牙齒管壁變厚,齒質結構強化直到牙齒的生長潛能完全發揮。

